
Expert Molecular Consulting
Specialized services for biotech and research labs
Consulting
Tailored advice for your projects
Expert guidance in rnascope
Support for tissue clearing methods
Execution
Optimization
About Us
Founder & Lead Consultant
Mahmoud El-Rifai is a molecular biology consultant with over 10 years of hands-on experience in RNAscope, tissue clearing, and advanced imaging workflows. He brings deep expertise in electron microscopy sample preparation and sectioning, partnering closely with labs to execute, troubleshoot, and optimize experiments with precision and confidence.
About RNAClarity
RNAClarity is a specialized biotechnology consulting service providing expert support in RNAscope and tissue clearing techniques, including X-CLARITY and iDISCO+. We work directly with academic research labs and biotech companies to deliver high-quality, reproducible molecular imaging experiments through consulting, hands-on execution, and protocol optimization. Our focus is on clarity, precision, and reliable results for complex experimental workflows.


Services
Expert consulting in molecular biology.
Consulting
Expert guidance in experimental design and protocol development for RNAscope and tissue clearing, helping labs identify best practices and practical solutions.
Execution
Hands-on, on-site support executing RNAscope, tissue clearing (X-CLARITY, iDISCO+), and advanced sectioning, including preparation for electron microscopy.
Targeted troubleshooting and optimization to improve signal quality, tissue integrity, and reproducibility across RNAscope and tissue clearing workflows.
Optimization
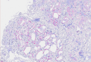
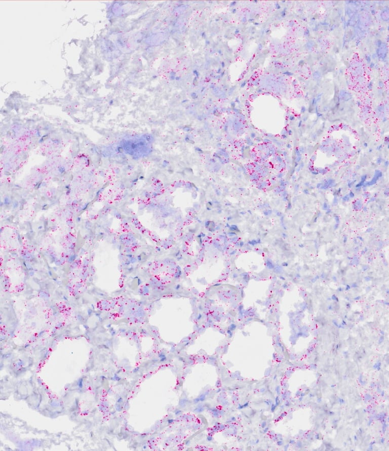
Gallery
Explore our advanced molecular imaging techniques
